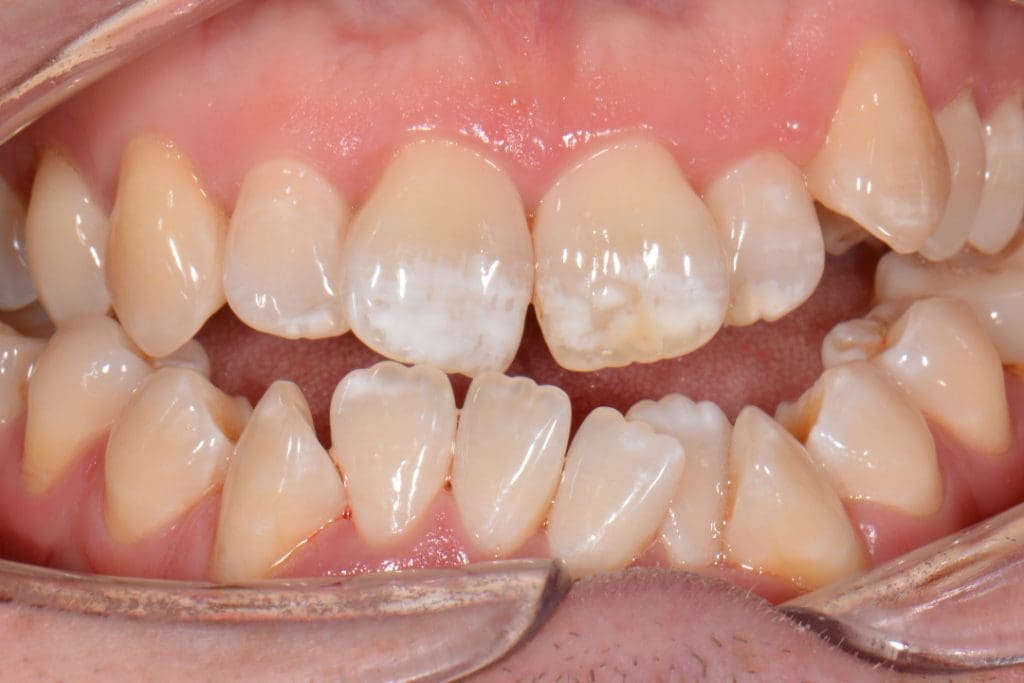
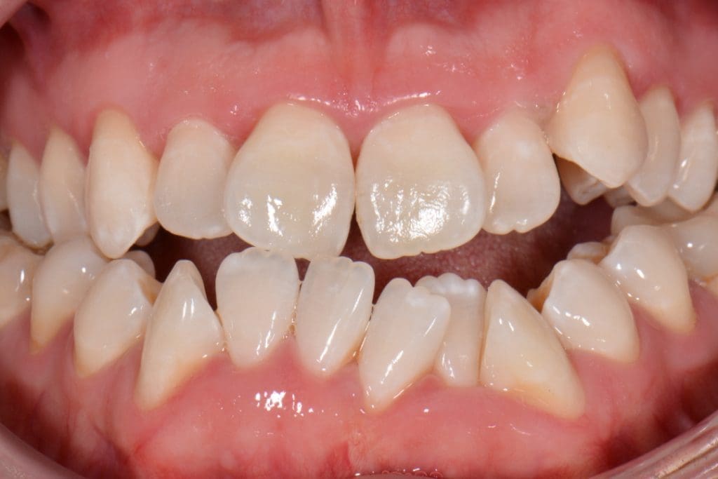
Witte Vlekken Na Beugel . Bruine aanslag op tanden behandeling Tandarts.nl Forum Daarom is het zo belangrijk om bij een beugel goed je tanden. na het weghalen van de vaste beugel worden ontkalkingsvlekken gezien op de plaats waar de brackets zaten
DAED.nl from www.daed.nl
Daarom adviseren wij om altijd een maand te wachten nadat de beugel eruit is gehaald. Witte vlekken zijn plekjes op het tandoppervlak waar het glazuur ontkalkt is
DAED.nl Beugel: witte vlekjes op de tanden ziet men ook vaak na het dragen van een blokjesbeugel. Daarom adviseren wij om altijd een maand te wachten nadat de beugel eruit is gehaald. Beugel: witte vlekjes op de tanden ziet men ook vaak na het dragen van een blokjesbeugel.
Source: ayereadydth.pages.dev Behandeling witte vlekken mbv ICON • Alders , Beugel: witte vlekjes op de tanden ziet men ook vaak na het dragen van een blokjesbeugel. Ik had vandaag een ortho-afspraak, en de orthodontist zei dat ik glazuurontkalking had op verschillende tanden (allemaal boven)
Source: shoplobyfet.pages.dev Witte vlekken behandelen Tandartsenpraktijk Assendelft , Als je al last hebt van witte vlekjes op je tanden, ook als ze nog maar een heel klein beetje zichtbaar zijn, pas dan op met het bleken van je tanden. Het is namelijk lastig om tanden te poetsen rondom de blokjes en daarom kunnen er witte vierkantjes te zien zijn
Source: kukutotopsj.pages.dev Behandeling witte vlekken mbv ICON • Alders , Het is namelijk lastig om tanden te poetsen rondom de blokjes en daarom kunnen er witte vierkantjes te zien zijn Ik had vandaag een ortho-afspraak, en de orthodontist zei dat ik glazuurontkalking had op verschillende tanden (allemaal boven)
Source: lupoilexuyj.pages.dev Witte vlekken op de tanden van een kind (8 foto's) de redenen waarom die er zijn , Iedereen kan witte vlekken op zijn tanden krijgen, maar ze komen vaker voor op de voortanden van patiënten met een slotjesbeugel en bij mensen met een slechte mondhygiëne. Tanden dienen ten minste twee keer per dag, twee minuten, gepoetst te worden met een fluoride bevattende tandpasta
Source: nkerenkxo.pages.dev Witte vlekken op de tanden Studentist , In ieder geval 's morgens en 's avonds en gebruik een. Witte vlekken kunnen bijvoorbeeld ontstaan door problemen in de ontwikkeling van het glazuur of, trauma in het verleden.
Source: xxxcashmfo.pages.dev Weg met vervelende vlekken! MP3 Tandartsen uit Apeldoorn , Als je al last hebt van witte vlekjes op je tanden, ook als ze nog maar een heel klein beetje zichtbaar zijn, pas dan op met het bleken van je tanden. Dit is het gevolg van slechte tandhygiëne, zoals niet regelmatig poetsen of flossen
Source: redpagolvf.pages.dev Witte vlekken op de tanden bij kinderen en volwassenen, kalkachtige vlekken op melktanden hoe , Daarnaast is de beugel makkelijk schoon te maken, omdat deze ook uitneembaar is na het weghalen van de vaste beugel worden ontkalkingsvlekken gezien op de plaats waar de brackets zaten
Source: soikeosonod.pages.dev Bruine aanslag op tanden behandeling Tandarts.nl Forum , Als je al last hebt van witte vlekjes op je tanden, ook als ze nog maar een heel klein beetje zichtbaar zijn, pas dan op met het bleken van je tanden. Daarom adviseren wij om altijd een maand te wachten nadat de beugel eruit is gehaald.
Source: trollydmxn.pages.dev Behandeling witte vlekken mbv ICON • Alders , Als je al last hebt van witte vlekjes op je tanden, ook als ze nog maar een heel klein beetje zichtbaar zijn, pas dan op met het bleken van je tanden. na het weghalen van de vaste beugel worden ontkalkingsvlekken gezien op de plaats waar de brackets zaten
Source: cominersnrb.pages.dev Alles wat je moet weten over witte vlekken op je tanden onmisbare voor , Witte vlekken op tanden na het dragen van een beugel In ieder geval 's morgens en 's avonds en gebruik een.
Source: assocpboqoa.pages.dev Witte Vlekken Na Whitening Strips Hoe Ontstaan Ze? , na het weghalen van de vaste beugel worden ontkalkingsvlekken gezien op de plaats waar de brackets zaten In ieder geval 's morgens en 's avonds en gebruik een.
Source: geoflexvlz.pages.dev Alarmerende witte vlekken op tanden 5 oorzaken en hoe deze te verhelpen , Witte vlekken op tanden na het dragen van een beugel Witte vlekken zijn plekjes op het tandoppervlak waar het glazuur ontkalkt is
Source: ideaguyfbw.pages.dev Orthodontiepraktijk Leeuwarden Medewerking en poetsen Orthodontiepraktijk Leeuwarden , Dit soort beugel heeft meer voordelen in vergelijking met de andere soorten beugels. na het weghalen van de vaste beugel worden ontkalkingsvlekken gezien op de plaats waar de brackets zaten
Source: olyforyvk.pages.dev Witte vlekken tanden behandelen (Icon) , Studies hebben aangetoond dat bij 85 procent van de mensen die een beugel draagt, witte vlekken ontstaan om de brackets door de tandplak die op de tanden. na het weghalen van de vaste beugel worden ontkalkingsvlekken gezien op de plaats waar de brackets zaten
Source: bitrisedaik.pages.dev Beugels en orthodontie Tandarts.nl , Deze vlekken zien eruit als kleine, witte of lichtgele plekken op het tandoppervlak en worden vaak gezien in de buurt van de slotjes van de beugel. Dit soort beugel heeft meer voordelen in vergelijking met de andere soorten beugels.
Witte vlekken op nagels Cleos Pedicure . Dit is het gevolg van slechte tandhygiëne, zoals niet regelmatig poetsen of flossen Tanden dienen ten minste twee keer per dag, twee minuten, gepoetst te worden met een fluoride bevattende tandpasta
Alles wat je moet weten over witte vlekken op je tanden onmisbare voor . Als je rondom de blokjes van je beugel niet goed hebt kunnen schoonmaken zie je na het verwijderen van de blokjes witte vierkanten Witte vlekken na beugel? Kans op witte vlekken op het glazuur is niet aanwezig! Doordat de onzichtbare beugel uitneembaar is, kan je je tanden en het bitje goed schoonmaken